Gründe für eine Galaktographie
Ärztinnen und Ärzte veranlassen möglicherweise eine Galaktographie, wenn bei einer Frau eine blutige oder klare Flüssigkeit aus der Brustwarze austritt, ohne dass sie schwanger ist oder stillt und Mammographie-Aufnahmen unauffällig sind. Denn dies kann auf eine krankhafte Veränderung in einem Milchgang hinweisen – selten auch auf einen bösartigen Brustkrebs.
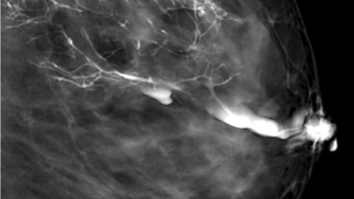
Mit der Untersuchung können Ärztinnen und Ärzte also einen Teil des Milchgangsystems sichtbar machen. Dies ist mithilfe einer einfachen Mammographie nicht möglich, da sich die Milchgänge in ihrer Dichte nicht vom umgebenden Bindegewebe unterscheiden und daher im Röntgenbild normalerweise nicht zu erkennen sind.
Ablauf einer Galaktographie
Vor einer Galaktographie wird die Brustwarze desinfiziert und in der Regel örtlich betäubt. Dann wird durch eine feine Kanüle ein wenig Röntgenkontrastmittel in den auffälligen Milchgang gespritzt. Dies kann unangenehm oder schmerzhaft sein – etwa weil das eingeführte Kontrastmittel ein Druckgefühl verursacht.
Im Anschluss an die Kontrastmittelinjektion folgt eine Mammographie. Durch das Kontrastmittel wird der Verlauf des Milchgangs in den Mammographie-Aufnahmen sichtbar. Fachleute können so erkennen, ob er durch einen gutartigen oder bösartigen Tumor eingeengt oder blockiert ist.
Gut zu wissen: Nebenwirkungen einer Galaktographie wie etwa leichte Schmerzen, Entzündungen oder allergische Reaktionen sind selten. Wer während oder nach der Untersuchung ungewöhnliche Symptome bemerkt, sollte aber stets der Ärztin oder dem Arzt Bescheid geben.
Zum Weiterlesen
Zum Aufbau der weiblichen Brust lesen Sie unter Brustkrebs: Anatomie, Tumorbiologie, Prognose.
Mehr zu Röntgenaufnahmen erfahren Sie unter Röntgen: Den Körper durchleuchten.
Bildhinweis: Das Copyright des Bildes "Ein Teil des Milchgangsystems der Brust erscheint durch die Galaktographie in einer Mammographie-Aufnahme intensiv weiß." liegt bei M. Moschetta et al., Wikimedia Commons unter der Lizenz CC BY-SA 3.0.
